ZYTOLOGIE
Gynäkolische Vorsorge und extragenitale Zelldiagnostik
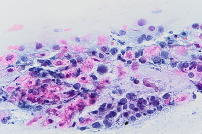
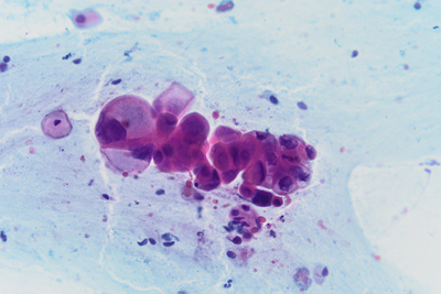
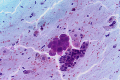
Das zytologische Labor unseres Institutes ist neben der extragenitalen Zytologie schwerpunktmäßig mit dem Screening und der Diagnostik von Vorstufen des Gebärmutterhalskrebses befasst. Dr. Jan-Philipp Geppert ist Facharzt für Pathologie und int. Facharzt für Zytologie (nach den Statuten der International Academy of Cytology (IAC)). Hierbei handelt es sich um die derzeit anspruchsvollste und int. anerkannte Qualifikation auf dem Gebiet der diagnostischen Zytologie. Unsere Cytologisch-Technischen Assistenten/innen verfügen sämtlich über eine fundierte Ausbildung mit Examinierung, langjährige Erfahrung- einzelne Mitarbeiterinnen sind seit 25 Jahren bei uns im Einsatz- und auf Routine basierenden hervorragende Fachkenntnissen.
Wir legen größten Wert auf eine hohe diagnostische Qualität, weswegen die Zahl der von einer CTA täglich zu untersuchenden Präparate bewusst begrenzt wird. Die Bearbeitung von Dünnschichtpräparaten und Fluoreszenz- oder Immunzytochem Präparaten wird von speziell geschulten Kräften durchgeführt. Auffällige Befunde werden in der internen Fallkonferenz mikroskopiert und besprochen. Besonderes Augenmerk wird auf die Erhebung und Zusammenführung Zytologischer Befunde, falls möglich einschließlich Dünnschichtzytologie und Immunzytochemie gelegt. Hierdurch ist es möglich die Diagnostik zu präzisieren, d.h. Krankheitsverläufe genau zu beobachten, hinsichtlich einer möglichen Progression/Regression zu bewerten, unnötige Eingriffe zu verhindern und, falls erforderlich, zuverlässige Empfehlungen zu notwendigen operativen Maßnahmen zu geben. In den vergangenen Jahren wurden dieses Verfahren durch weit überdurchschnittliche Ergebnisse in der diagnostischen Präzision belohnt (KVBW, Benchmark-Berichte zur Qualitätssicherung in der Zytologie).
Leistungsübersicht
-
- Gynäkologische Vorsorgezytologie
Kurative Gynäkologische Zytologie > HPV, Thinprep, CINtecPLUS, L1-Kapsid - Extragen. Zytologie > Mamma-Zytologie
- Zytologie der serösen Höhlen / Punktionszytologie
- Urinzytologie > Standard, Monolayer, UroVysion
- Organzytologie > SD, Lymphknoten, inneres Genitale
- Oralzytologie > ORCA-Brush
- Gynäkologische Vorsorgezytologie
...




